医疗技术
口腔修复科-全瓷贴面美学修复
如果你渴望改善笑容,牙齿贴面是一个备受青睐的修复方法。全瓷贴面是一种薄层瓷修复体,通过粘接材料固定在牙齿表面,以改善牙齿外观形态和色泽,达到可以与真牙相媲美的牙齿美容效果,帮助你实现理想的外观。
全瓷贴面可用于解决多种牙齿美观问题,例如:无法通过漂白改善美观的变色牙;缺损或磨耗的牙齿;前牙间隙;牙齿发育异常、畸形等。全瓷贴面具有磨牙少、材质稳定耐久、仿真度高、不易染色、美观效果好等优点,是目前国内外牙齿美容修复的主流技术。
初次就诊时,医生会对患者进行美学评估与设计,在与患者达成美学共识后,磨除少量的牙齿,并用牙科专用的比色板进行牙齿比色,以此来确定贴面的颜色。在最终修复体完成之前,医生会为患者制作暂时性树脂贴面以过渡,最终将制做成的全瓷贴面的内侧均匀涂上粘接剂,贴于需要修复的牙齿上即可完成治疗。
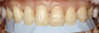
氟斑牙的全瓷贴面美学修复

牙齿美学分析与设计

硅橡胶导板指导下的牙体预备

暂时性树脂贴面

全瓷贴面
(病例由修复科邓宏燕医生提供)
上一篇: 全麻下治疗儿童龋齿—让宝宝不再为看牙哭闹
下一篇: 口腔修复科-修复导向种植治疗


















