医疗技术
口腔颌面头颈肿瘤外科特色医疗技术
我院口腔颌面头颈肿瘤外科目前主要开展头颈部良恶性肿瘤的综合序列治疗以及个性化治疗,注重中、晚期口腔癌的姑息治疗、利用游离皮瓣(前臂皮瓣,股前外侧皮瓣,腓骨肌皮瓣,背阔肌皮瓣等)以及带蒂组织瓣修复各类颌面部缺损;采用种植联合骨移植功能性重建复杂颌骨缺损,其中具有领先和特色的技术和项目包括:
一、头颈部恶性肿瘤的综合治疗以及恶性肿瘤治疗后功能整复。针对各类口腔癌,尤其是中晚期口腔癌指定的个性化治疗方案。在进行肿瘤根治性治疗的基础上同期利用各种游离组织瓣移植修复完成缺损的一期修复。(图为前臂皮瓣与背阔肌皮瓣术前设计)


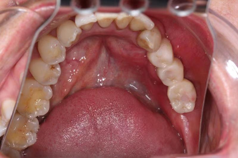
二、针对肿瘤、创伤治疗术后的复杂颌骨、牙列以及软组织缺损,采用种植技术联合骨移植进行功能性重建,尽最大程度恢复患者的咀嚼、发音以及吞咽等口腔功能,提高患者生存质量。(图为下颌骨区段缺损游离腓骨肌皮瓣移植术后行牵引成骨,二期种植行种植修复。


三、良性肿瘤的微创治疗。科室内倡导针对良性肿瘤的治疗方针,在充分治疗疾病的基础上更加关注患者患病区域功能结构的保存,强调切口设计的美观隐蔽。其中特色治疗项目包括1.大型颌骨囊性病变的开窗治疗。2.青少年实性/多囊型成釉细胞瘤的清淤治疗。3.腮腺美容切口在治疗各类腮腺肿瘤中的应用。(图示为发际内切口设计)


四、基于数字化技术及3D打印的口腔颌面部缺损修复以及功能重建。1.针对颌骨缺损二期修复的数字化设计及3D打印。2.针对骨组织皮瓣游离移植修复的术前数字化设计及3D打印。3.针对复杂种植修复,如腓骨种植等的数字化导板设计及3D打印。(图为下颌骨头模打印以及手术导板制作)


五、其他罕见病的治疗:1.流唾症的治疗2.大型神经纤维瘤病的治疗。3.大型化牙骨质纤维瘤的治疗。


下一篇: 口腔修复科-种植辅助全口义齿修复


















