医疗技术
口腔修复科-修复导向种植治疗
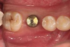
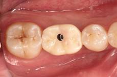
种植治疗是一种以植入骨组织内的下部结构(种植体)为基础来支持/固位上部修复体的缺失牙修复方式,是治疗牙齿缺失的一种较新的、成熟的临床技术。医生需要根据理想的缺失牙修复方案所要求的植体分布和三维方向、结合患者口腔局部和全身条件,设计制定合理的种植外科方案后,经手术方法将种植体植入组织内(通常是上下颌)、并获得骨组织牢固的固位支持,最后通过特殊的装置和方式连接支持上部的修复体。目前常用的种植体材料主要是钛、上部暴露于口腔内的修复体材料趋同于天然牙修复材料。


修复导向种植治疗方法的主要优点是主要依靠种植体的支持,恢复缺牙区的软硬组织形态、实现预期的功能与美学目标,这种方式更加符合口腔生物力学的要求,从而有利于获得更为长期的修复成功率。





(图片由修复科韩彦峰医生提供)
上一篇: 口腔修复科-全瓷贴面美学修复
下一篇: RCT-CAD/CAM牙体牙髓一体化治疗


















