医院新闻
解决“吃饭难”!口腔颌面整形创伤外科开展开放性颞下颌关节盘复位手术
近日,患者司女士因左侧颞下颌关节区持续疼痛、弹响,并逐渐发展为张口受限,严重影响其咀嚼、言语等基本生活功能,饱受折磨,选择前往北京口腔医院口腔颌面整形创伤外科就医。
多年来,她尝试了药物、理疗、关节腔注射等多种保守治疗方法,但效果均不理想,症状反复且进行性加重。
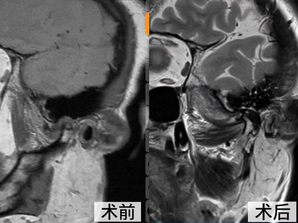
经详细检查,她的症状被确诊为 “左侧颞下颌关节不可复性盘前移位”,关节盘已严重变形、粘连伴髁突骨折破坏,必须通过外科手术才能从根本上解决问题。
面对这一复杂病例,口腔颌面整形创伤外科主任王学玖组织团队开展多次术前讨论。鉴于患者关节结构破坏严重,常规的关节镜微创手术已难以奏效,团队最终决定为其施行开放性颞下颌关节手术。
什么是开放性颞下颌关节手术?
颞下颌关节紊乱病是口腔颌面外科的常见病和疑难病,多数是由关节盘移位引起,中后期会造成关节结构的严重破坏(如穿孔、粘连、骨关节炎等),患者会出现迁延不愈的疼痛、张口受限等症状,严重影响正常生活。当保守治疗或关节镜手术无法解决此类的结构破坏时,开放性手术便成为最终且最有效的治疗手段。它通过一个小而隐蔽切口,在直视下对移位的关节盘进行精准复位和对破坏的关节结构进行有效重建,旨在缓解疼痛、恢复关节功能和改善生活质量。
副主任医师张宁解释:“开放性手术虽然是治疗终末期关节病的‘金标准’,但因其手术区域深在,周围密布着重要的神经血管,如面神经分支、颌内动脉等,对手术的精准度和团队的技术配合要求极高,如同在‘方寸之地’进行精细雕刻。”
王学玖团队在患者耳前设计了精巧的隐蔽切口,娴熟地避开重要神经血管,充分暴露病变的颞下颌关节,清晰地见到关节盘已完全脱位并粘连于前内侧,盘后区组织糜烂。团队精准地完成了关节盘的松解、复位与固定,重建了正常的关节结构。
术后,司女士恢复良好,困扰多年的关节区疼痛显著缓解,张口度也较之前明显改善。目前,在医护人员的精心治疗和护理下,她已开始准备进行系统的张口训练,并对未来的生活质量充满了信心。“今后终于能踏实地吃一顿饭了!”


















