北京口腔医院2020年老年口腔健康义诊咨询宣传周
关爱口腔健康,提高生活质量
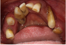
“牙好胃口就好吃嘛嘛香身体倍儿棒”,这是老百姓常说的一句话。然而您的牙齿真的好吗?很多人存在误区:认为“老掉牙”是正常现象,不用处理,甚至认为看牙太麻烦,还不如都掉光了再考虑镶牙。牙齿缺损、疼痛,牙齿松动以致牙齿缺失都会影响咀嚼效率,影响胃肠功能,最终影响人的营养健康状态,导致生活质量下降。由于对牙齿保护认识的误区和对口腔卫生问题的不重视,很多老年患者就诊时已出现多数牙不同程度的松动或者有大量的龋齿,那么老年人常见的口腔疾病有哪些呢?
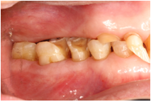
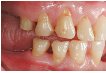
1、牙周病
牙周病是导致拔牙的主要原因之一。牙周炎会导致牙齿周围的骨头吸收,进而导致牙缝变大、前牙黑三角出现,牙齿松动、咀嚼无力等情况。治疗牙周病基本的方法就是定期牙周基础治疗,一般半年到1年,控制牙周炎的进展。
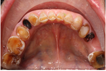
2、龋病
老年朋友根面龋比较常见。龋病在最初的时候往往没有什么症状,出现疼痛就诊时可能已经需要行去神经根管治疗了。而很多患者朋友却不在意,任龋患发展,待到就诊时牙齿很多时候都需要拔除了。治疗龋病的策略是早发现早治疗。病情进展到需要根管治疗后往往还需要修复科行冠修复,时间和经济都是种损失。而任龋病进展到需要拔牙的程度就得不偿失了。
3、牙齿磨耗
牙齿磨耗的原因有很多,包括生理性磨耗,不良咀嚼习惯比如吃硬食;还有由于牙釉质、牙本质发育不良导致的牙齿不正常磨耗。这种磨耗会导致牙本质敏感,牙齿酸痛等情况,久而久之甚至会影响颞下颌关节的健康。有时候牙齿的不均匀磨耗会导致牙齿边缘锐利,刺激口腔黏膜;牙齿的不均匀磨耗也会增加镶牙的难度。牙齿磨耗的治疗策略是避免咀嚼硬食,若是因为氟斑牙或者四环素牙等导致牙釉质发育不好的,则请尽快就诊。
所谓楔状缺损是指牙齿靠近牙龈的地方牙齿缺损。楔状缺损大的时候会导致牙齿敏感、牙齿折断等情况,有时候也会影响后续的镶牙。导致楔状缺损最常见的原因是不正常的刷牙方式。楔状缺损的防治策略是养成正常的刷牙方式,并到治疗科室进行治疗。
5、黏膜疾病
比如溃疡、义齿性口炎、白班、扁平苔藓等。如果是牙齿太尖锐导致的反复口腔溃疡则需到修复科进行适当的调 牙合 ;如果是其他黏膜疾病,建议到黏膜科进一步诊治。若有口腔粘膜相关疾病建议在修复治疗前黏膜科先行诊治。
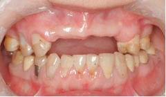
6、牙齿缺失
牙周病、龋病甚至楔状缺损都会导致缺牙,这也是老年患者修复科就诊的主要原因。牙齿的缺失会导致咀嚼功能的下降进而影响身体的健康情况。缺牙的诊治策略是修复科进行就诊,主诊医师会根据您的具体口腔情况制定适合您的修复方案。
关注口腔健康,定期口腔检查,至少每半年预约进行一次口腔检查,早发现早治疗,拥有一副好的牙齿不是梦,愿您拥有阳光灿烂的生活!
作者:修复科 曾百进
审核校对编辑:门诊部

1、牙周病

2、龋病

3、牙齿磨耗

4、楔状缺损

5、黏膜疾病

6、牙齿缺失
关注口腔健康,定期口腔检查,至少每半年预约进行一次口腔检查,早发现早治疗,拥有一副好的牙齿不是梦,愿您拥有阳光灿烂的生活!
作者:修复科 曾百进
审核校对编辑:门诊部
上一篇: 疼到无法入睡的牙髓炎
下一篇: 老年人自我口腔保健方法


















