首都医科大学附属北京口腔医院创建于1945年,是一所集医疗、教学、科研、预防为一体的三级甲等口腔专科医院、口腔医学院和口腔医学研究机构。按照医院“一院两址多点”… 详细>>
公交:乘692路 通医专线7路 专180路。首经贸南路东口公交站下车,步行至医院东门(近急诊、住院、国疗)。四合庄东公交站下车,步行至医院南门(近门诊)
公交:乘坐60路,在锡拉胡同下车,步行约300米;或乘坐103、141、观光2线,东安门大街站下车,步行约200米即可到达;
地铁:地铁8号线,金鱼胡同站下车,C口...
科研动态
科研学科
科研成果
科研平台
临床试验机构
伦理委员会
科技链接
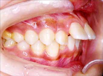
矫治前
拔除四个第一双尖牙
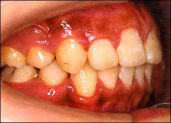
矫治后
李梦华
上一篇: 拥挤的矫治
下一篇: 反合的矫治